PMTC

PMTCとはプロの手によって歯をクリーニングすることです。

日頃、歯を磨いていてもどうしても歯の表面には、粘着性の細菌バイオフィルムが付着しています。

PMTCは、歯科衛生士による特殊な専用の器具を使い、歯の表面の歯石、バイオフィルムを

除去する方法です。

ツルツルに磨かれた歯面は、プラークが付着しにくくなります。

また、PMTCを定期的に行うことにより、歯をむし歯・歯周病から守り、健康な口元を維持できます。

タバコを吸う方、お茶やコーヒーをよく飲む方、PMTCを行うだけで歯が白くなります。

また歯ぐきの腫れ、痛みを抑え、歯の寿命を延ばすことが期待できます。

 

  • ブラシだけでは落とせない汚れ!?

    「毎日の歯みがき、きちんとやっているから・・・」とおっしゃる方がいらっしゃいます。
    しかし、残念ながら歯ブラシでは落とせない汚れがあるのです。
    「歯石」と「バイオフィルム」です。

 

  • 歯石とは・・・

 プラーク(歯垢)が固まって(石灰化して)できたもので、一度付着すると歯ブラシで取り除くことは

 不可能です。歯石は細菌の溜まり場となり、歯槽骨を溶かしてしまう原因となります。

 ですから、定期的にきちんと取り除く必要があるのです。

 

  • バイオフィルムとは?

 台所のヌメヌメのようなもので、細菌同士が固まって保護膜を作り歯面にはり付くので、

 歯ブラシでは取りづらくなります。

 さらに、歯と歯ぐきの境目(歯周ポケット)のバイオフィルムは歯ブラシで取り除くことは困難となり、

 これを放置すれば虫歯と歯周病の原因となります。

 ですから、これも定期的に専門の機械を用いて歯科医院で取り除くことが重要になるのです。

 

 バイオフィルムは細菌のかたまりです。

 歯の表面に取り付いた、虫歯菌や歯周病菌は、歯の表面で増殖しバイオフィルムを形成します。

 バイオフィルムは、歯の表面に強固に付着します。剥がしとる最も効果的な手段として考えられるのが、

 PMTC(Professional Mechanical Tooth Cleaning)です。

 ブラッシング等で物理的に取り除くしか方法がありません。

 放置しておくと歯の表面だけではなく、歯肉の縁より広がり歯肉、歯骨にまで影響します。

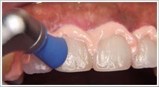
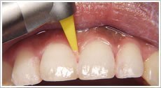
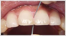
PMTCの手順

磨ききれない汚れ確認します

プラークには丁寧なブラッシングでも落とせないものがあります。その場所を確認します。

歯の表面をクリーニングします。

ペーストを塗り専用ブラシで汚れをこすり落とします。

プラスチックチップ、デンタルフロスを使って
歯と歯の間の汚れを落とします。

 

研磨ペーストを塗り柔らかいラバーカップで
表面の艶だしを行います。

 

歯の質を強くし輝きを増すため、きれいになった歯面に
フッ素を塗って終了です。

 

パソコン|モバイル
ページトップに戻る